White Spots on Teeth: Causes and Treatment Options

  • Home
  • /
  • Blog
  • /
  • White Spots on Teeth: Causes and Treatment Options
white spots on teeth causes and treatment options

Having white spots on your teeth, especially on your smile, is a matter of concern. The emergence of white spot lesions typically signifies the beginning of enamel demineralization. To keep a bright, healthy smile, you must know the causes of these spots and how to treat them. In case of this problem, it is possible to choose a professional dentist in Grande Prairie and find the most optimal treatment options that can meet your requirements.

This process will see you find a trustworthy dentist near you to make sure that the problem is treated as soon as a diagnosis is made.

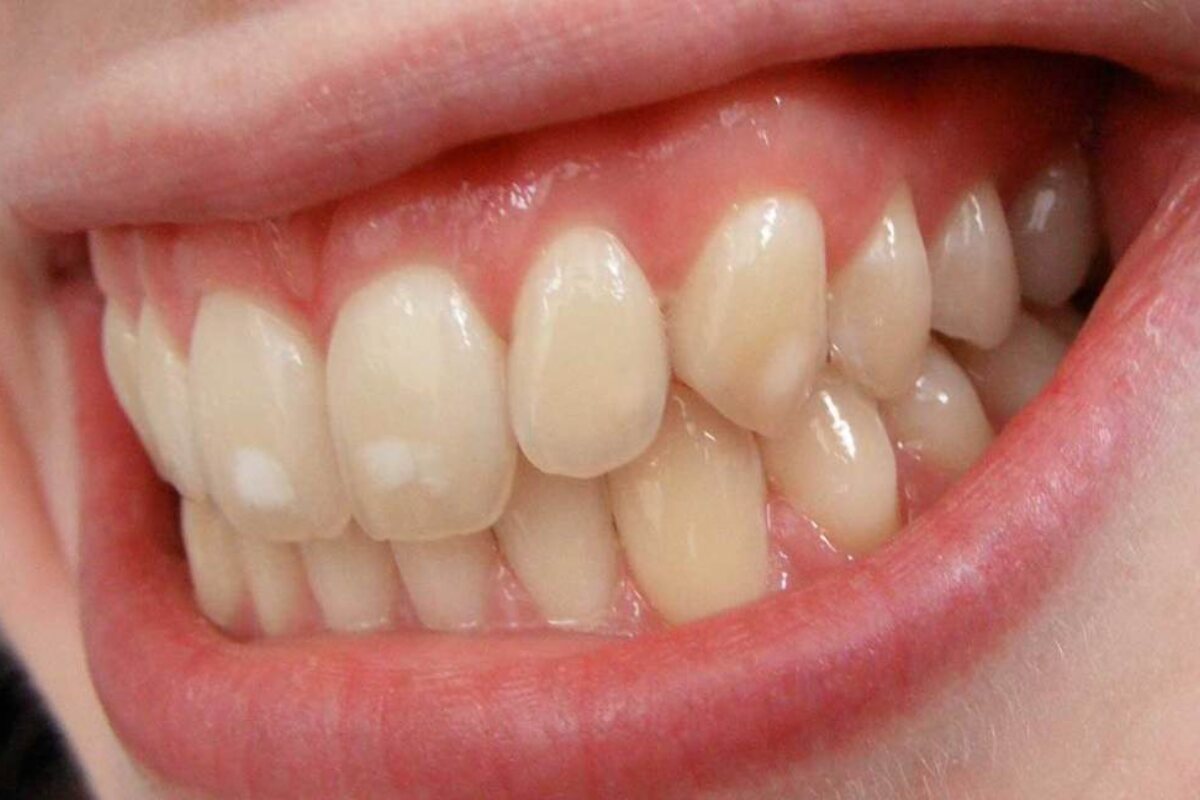
What Causes White Spots on Teeth?

The appearance of white spots on teeth can result from various factors, including mild mineral loss and underlying dental conditions. Common causes include.

  • Enamel Hypoplasia: Dental enamel hypoplasia is a developmental anomaly resulting in underdeveloped enamel that makes the teeth discolored and uneven. It is caused by a halt in the enamel formation of permanent teeth within the first few years of life. 
  • Demineralization: The lack of satisfactory oral health and accumulation of the plaque lead to the enamel losing minerals, usually around the orthodontic brackets. 
  • Foods: Acidic food and drinks are likely to wear away enamel, resulting in visible spots. 
  • Inadequate Oral Hygiene: If you do not brush and floss properly, after some time, enamel will get damaged or discolored.

Dental Enamel Discoloration Defined

Just because your dental enamel has been discolored does not mean that your teeth are unhealthy. However, it can serve as the early indication of a problem or damage that has been diagnosed.

The cause of these white marks may either be in a single tooth or in numerous teeth. It is crucial to promptly identify the white spots, as failure to do so could lead to the development of cavities.

How to Remove White Spots from Teeth

If you’re wondering how to remove white spots on teeth, there are effective treatments that can improve your enamel and smile. Your dentist can prescribe:

  • Fluoride Therapies: Strengthens the enamel and remineralizes the damaged ones. 
  • Microabrasion: This is a mild process that involves removing a fine layer of enamel to reduce discoloration. 
  • Teeth Whitening: Contributes to a consistent shade in each of your teeth. 
  • Resin Infiltration: Seals demineralized sites to reinstate the natural translucency of enamel.
  • Veneers or bonding: In egregious cases, a cosmetic application is given to the white spots to give them a perfect appearance.

There is no standardized treatment for white spots on teeth, so it will require an individual approach. Before prescribing a course of treatment, your dentist will examine whether the spots are a result of surface discoloration or a deeper underlying problem in the enamel.

Prevention Tips to Avoid White Spots

The prevention of the white spots is more convenient than treatment in the future. Being a good oral carer will help to keep your enamel safe, as well as your teeth clean and bright.

These are some of the prevention recommendations:

  • Clean your teeth with fluoride toothpaste two times a day.
  • Brush teeth on a daily basis to clean in between.
  • Restrict acidic and sweet foods and beverages.
  • Wash your mouth after taking acidic drinks.
  • Learn to visit your dentist.

These are the habits that aid in maintaining the health of the enamel and do not allow the dental enamel discoloration as age advances.

When to See a Dentist

When you see the white spots that don’t go away even after improving your oral hygiene, you should see a dentist. A dentist in Grande Prairie will be able to inspect your teeth and to see the actual cause of white spots on teeth and prescribe the appropriate treatment of white spots on teeth to fix your smile.

Conclusion

Although the white spots on your teeth may affect your confidence, you can take care of them. The timely diagnosis and effective dental care can become the key to saving your enamel and keeping your smile. Swanavon Dental Clinic is the place. Check your appointment today and begin to make your smile brighter and healthier.

📍 Find us easily on the Google map and plan your visit today!

Dr. Eldon Hickerty

Written by

Dr. Eldon Hickerty

Meet Dr. Eldon Hickerty, our caring dentist in Grande Prairie at Swanavon Dental Clinic. With a passion for dental health, He brings 40 years of experience to his practice. Graduating from the University of Alberta, he embarked on a journey of excellence in dentistry in 1981. Over the years, he has seen remarkable advancements in dental technology and practices, always staying updated to offer his patients the best care possible. With his compassionate approach and dedication to advancing dental care, he continues to make a difference in the lives of those he serves. Trust Dr. Eldon Hickerty to keep your smile healthy and bright for years to come.

Call Now | Book Now